| Quantità: | |
|---|---|
| Esportazione in PDF | |
HDR-7200b.
Attrezzature X Ray.
Tutto
Cartone
Jiangsu, Cina
Imaging Attrezzature diagnostiche
CE, ISO13485.
Healicom.
Ce, iso.
9018909090
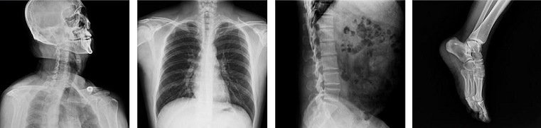
Descrizione Del Prodotto
1. In combinazione con PLD7200A per il sistema DRF doppio tubo.
2. workstation One-stop dalla registrazione alla ducumentation può facilmente seguire il flusso di lavoro clinico.
3. DICOM Interface 3.0 consente ai PACS reti di connessione e di stampa del film secco in ospedale.
4. compatto, a pavimento, di disegno U-braccio, si inserisce in camere più piccole senza la necessità di strutture di supporto soffitto, e può essere installato rapidamente.
| Articolo | parametri |
| Potenza di uscita | 50KW |
| Doppio-focus | Piccolo fuoco: 0,6; Grande attenzione: 1.2 |
| tubo tensione | 40-150kV |
| corrente del tubo | 10-640mA |
| Tempo di esposizione | 1ms-10000ms |
| Rivelatore digitale | rilevatore a pannello piatto |
HEALICOM MEDICAL EQUIPMENT CO.,LTD
